Uvod
Migrena je česta neurološka bolest koja pogađa značajan postotak populacije, osobito žena u reproduktivnoj dobi. Unatoč tome što se često smatra benignim stanjem, sve veći broj istraživanja ukazuje na povezanost migrene, osobito one s aurom, s povećanim rizikom od moždanog udara.
Epidemiološki podaci sugeriraju da su mlađe žene, posebice one koje puše ili koriste oralne kontraceptive, posebno osjetljive na ovaj rizik. Ovaj članak donosi pregled recentnih znanstvenih spoznaja o povezanosti migrene i moždanog udara te prikazuje slučaj mlade žene s migrenom koja je doživjela moždani udar, s ciljem naglašavanja važnosti ranog prepoznavanja i procjene rizika u ovoj ranjivoj populaciji.
Povezanost migrene i moždanog udara
Istraživanja dosljedno pokazuju značajnu povezanost između migrene i moždanog udara. Meta-analize ukazuju da osobe koje pate od migrene, posebice one s aurom, imaju otprilike dvostruko veći rizik za razvoj moždanog udara u usporedbi s osobama koje nemaju migrenu [1, 2]. Ovaj rizik je posebno izražen kod mlađih žena, osobito onih koje puše ili koriste oralne kontraceptive [2], a najveći rizik prisutan je kod žena mlađih od 45 godina koje često imaju napadaje migrene [3]. Kod većine žena s migrenom učestalost napadaja opada tijekom trudnoće [4]. Međutim, žene s migrenom imaju povećan rizik od hipertenzije povezane s trudnoćom, preeklampsije i moždanog udara u usporedbi s onima bez migrene [5].
Iako točan mehanizam koji povezuje migrenu i moždani udar još uvijek nije potpuno razjašnjen, nekoliko patofizioloških čimbenika moglo bi pridonijeti ovom povećanom riziku. Kortikalna šireća depresija, upala krvnih žila i disfunkcija endotela mogu stvoriti uvjete pogodne za nastanak tromba i posljedično moždanog udara [6].
Velike epidemiološke studije potvrdile su ove nalaze, pokazavši da su i migrena i jake nespecifične glavobolje povezane s velikim rizikom od moždanog udara, čak i nakon što se uzmu u obzir već poznati čimbenici rizika poput hipertenzije i pušenja [7]. Iako se migrena u općoj populaciji često smatra benignim stanjem, ove spoznaje upućuju na potrebu za prepoznavanjem migrene kao potencijalnog čimbenika rizika za moždani udar, osobito kod mlađih osoba koje nemaju druge uobičajene čimbenike rizika [7, 8]. Osim toga, lijekovi koji se koriste za liječenje migrene, posebno oni koji uzrokuju suženje krvnih žila (vazokonstriktori) kao što su ergotamini i triptani mogu uzrokovati cerebralnu vazokonstrikciju i teoretski mogu povećati rizik od moždanog udara. Studije nisu otkrile nikakvo definitivno povećanje rizika od moždanog udara povezanog s upotrebom triptana [9]., ali oni su ipak relativno kontraindicirani za bolesnike s krvožilnom bolešću, te bi ih trebali u potpunosti izbjegavati bolesnici s moždanim udarom ili izraženom koronarnom bolešću [10]. Betablokatori poput propranolola su lijekovi prve linije za nespecifično profilaktičko liječenje migrene, ali se ne preporučuju kao prvi izbor osobama starijim od 60 godina ili pušačima [10]. U slučaju neuspjeha ove terapije kod bolesnika s najmanje četiri dana migrene mjesečno, stručne smjernice preporučuju uvođenje specifične profilaktičke terapije, uključujući monoklonska antitijela usmjerena na kalcitonin gen-povezani peptid (CGRP) (fremanezumab ili galkanezumab) ili na receptor CGRP-a (erenumab). Specifični profilaktički lijekovi za migrenu imaju brojne prednosti u odnosu na nespecifične, uključujući visoku selektivnost i učinkovitost, te bolju podnošljivost uz manje interakcija [11].
Ova saznanja naglašavaju važnost pažljivog pristupa u procjeni rizika kod pacijenata s migrenom, s posebnim naglaskom na mlade žene koje su pušači ili koriste oralnu kontracepciju. Rana identifikacija i kontrola dodatnih čimbenika rizika mogla bi pomoći u smanjenju incidencije moždanog udara u ovoj populaciji.
Prikaz slučaja: Povezanost migrene i moždanog udara kod mlade žene
Pacijentica: Žena, 33 godine
Dijagnoza:
- G43.3 Komplicirana migrena
- H53.0 Homonimna hemianopsija desno
Anamneza: Pacijentica je u osnovnoškolskoj dobi preboljela serozni meningitis. Od ranije je imala epizodne migrene. Dan prije prijema u bolnicu primijetila je pojavu “crnih krugova” u vidnom polju oba oka, što je bio prvi simptom. Nedugo zatim razvila je trnjenje jezika, a potom i desne strane lica, desne ruke i noge. Smetnje su trajale oko dva sata, nakon čega se pojavila intenzivna glavobolja popraćena mučninom i povraćanjem. Pri dolasku u bolnicu, pacijentica je navela i probleme s vidom. Pušač je, ne konzumira alkohol, te ne uzima kroničnu terapiju.
Neurološki status: Desnostrana homonimna hemianopsija, bez drugih neuroloških deficita.
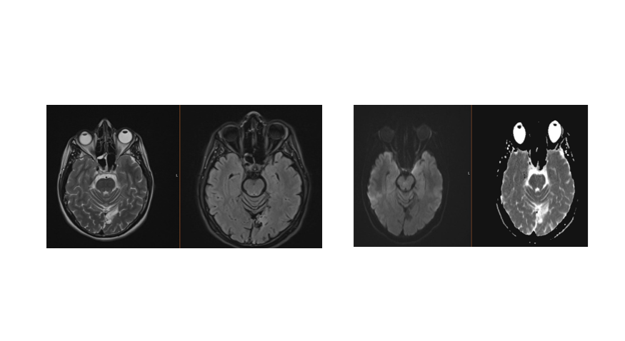
MR mozga: Nalaz pokazuje akutnu ishemijsku leziju u lijevom okcipitalnom području, unutar irigacijskog područja lijeve stražnje cerebralne arterije (ACP).

Diskusija: Ovaj slučaj 33-godišnje pacijentice s dijagnozom komplicirane migrene i desnostranom homonimnom hemianopsijom dodatno potvrđuje vezu između migrene, posebice s aurom, i moždanog udara. Pacijentica nije imala klasične vaskularne čimbenike rizika, osim pušenja, no razvila je moždani udar u stražnjoj cirkulaciji. Prisutnost vizualnih smetnji, trnjenja te glavobolje s neurološkim deficitima su simptomi koji upućuju na migrenu s aurom, a istovremena pojava akutne ishemijske lezije potvrđuje značajan rizik od moždanog udara u ovoj skupini.
Ovaj slučaj, u skladu s literaturom, naglašava važnost prepoznavanja i kontrole rizičnih čimbenika kod mladih žena s migrenom, osobito onih koje puše, kako bi se smanjio rizik od ozbiljnih komplikacija poput moždanog udara.
Zaključak
Slučaj mlade žene koja je, unatoč izostanku klasičnih čimbenika rizika, razvila ishemijski moždani udar u sklopu migrene s aurom, naglašava potrebu za većim oprezom pri procjeni pacijenata s migrenom. Iako se migrena često doživljava kao relativno bezopasno stanje, sve je jasnije da može predstavljati ozbiljan rizik, posebno kod određenih skupina poput mladih žena koje koriste oralne kontraceptive ili puše. Brojna istraživanja potvrdila su da žene mlađe od 45 godina s migrenom imaju povećan rizik od moždanog udara, iako točan mehanizam još uvijek nije u potpunosti razjašnjen.
Prevencija moždanog udara u ovoj populaciji uključuje pravovremeno prepoznavanje i smanjenje vaskularnih čimbenika rizika, kao što su pušenje, hipertenzija, dijabetes i hiperkolesterolemija, te ograničavanje uporabe oralnih kontraceptiva. Individualizirani pristup pacijentima, uz savjetovanje o zdravim životnim navikama i kontrolu dodatnih čimbenika rizika, ključan je za smanjenje potencijalnih komplikacija povezanih s migrenom.
- Etminan M, Takkouche B, Isorna F C & Samii A. (2005). Risk of ischaemic stroke in people with migraine: systematic review and meta-analysis of observational studies BMJ 2005, 330(7482), 63.
- Kurth, T., & Diener, H.C. (2012). Migraine and stroke: perspectives for stroke physicians. Stroke, 43(12), 3421-3426.
- Winsvold B.S., Marvik A, Zwart J.A & Aamodt A.H. (2018). Migraine and stroke. Tidsskriftet.Vol.138.
- Lee M.L, Guinn D.G. & Hickenbottom S.H. (2024). Headache during pregnancy and postpartum, https://www.uptodate.com/contents/headache-during-pregnancy-and-postpartum (20.10. 2024).
- Wabnitz, A., & Bushnell, C. (2015). Migraine, cardiovascular disease, and stroke during pregnancy: systematic review of the literature. Cephalalgia, 35(2), 132-139.
- Zhang, Y., Parikh, A., & Qian, S. (1995). Migraine and stroke. Stroke and Vascular Neurology, 2, 160-167.
- Merikangas, K.R., Fenton, B.T., Cheng, S., Stolar, M.J., & Risch, N. (1997). Association between migraine and stroke in a large-scale epidemiological study of the United States. Archives of neurology, 54 (4), 362-368.
- Zhang, Y., Parikh, A., & Qian, S. (2017). Migraine and stroke. Stroke and Vascular Neurology, 2 (3), 160-167.
- Roberto, G., Raschi, E., Piccinni, C., Conti, V., Vignatelli, L., D’Alessandro, R., De Ponti, F. and Poluzzi, E. (2015). Adverse cardiovascular events associated with triptans and ergotamines for treatment of migraine: systematic review of observational studies. Cephalalgia, 35(2), 118-131.
- Ramzan MR, Mehla S. (2024). Migraine-associated stroke: risk factors, diagnosis, and prevention, https://www.uptodate.com/contents/migraine-associated-stroke-risk-factors-diagnosis-and-prevention (20.10.2024.)
- Cohen, F., Yuan, H., DePoy, E. M. G., & Silberstein, S. D. (2022). The arrival of anti-CGRP monoclonal antibodies in migraine. Neurotherapeutics, 19(3), 922-930.
Komentiranje je dozvoljeno samo registriranim korisnicima. Svaki korisnik koji želi komentirati članke obvezan je prethodno se upoznati s Pravilima komentiranja na belupoint.hr.